Veterinary Computed Tomography
MyVet CT i3D
Full Body Diagnostic Imaging Acquisition
The innovative MyVet CT i3D with spiral linear detector technology brings multi slice CT image quality at a very affordable total cost of ownership right to your practice. Unique sensor design and proprietary image processing development provide you with high image quality especially in soft tissue thoracic and abdominal studies.
Simplified operation and imaging protocols optimizes staff workflow, productivity, and diagnostic results. Fast scan times, MPR and standard 3D volume rendering functionality facilitates obtaining diagnostic results as well as minimizing animal time under anesthesia.
- High image quality at low x-ray dose
- Standard 3D CT mode
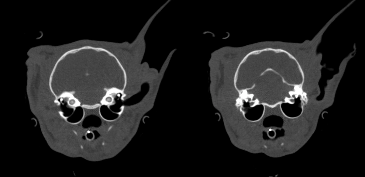
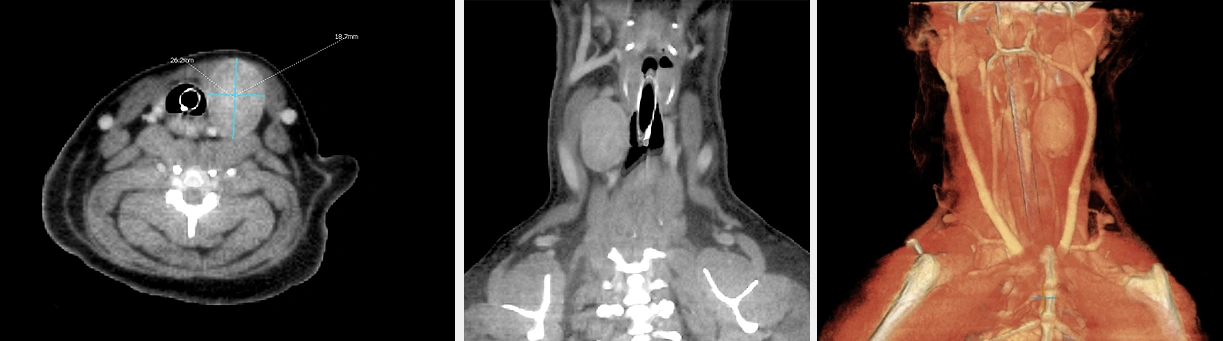
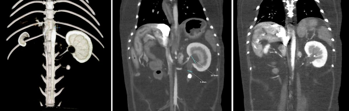
- Superior soft tissue image
- Narrow slice thickness
- Large FOV
- Fast installation and easy set up
MyVet CT i3D
Full Body Diagnostic Imaging Acquisition
The innovative MyVet CT i3D with spiral linear detector technology brings multi slice CT image quality at a very affordable total cost of ownership right to your practice. Unique sensor design and proprietary image processing development provide you with high image quality especially in soft tissue thoracic and abdominal studies.
Simplified operation and imaging protocols optimizes staff workflow, productivity, and diagnostic results. Fast scan times, MPR and standard 3D volume rendering functionality facilitates obtaining diagnostic results as well as minimizing animal time under anesthesia.
- High image quality at low x-ray dose
- Standard 3D CT mode
- Superior soft tissue image
- Narrow slice thickness
- Large FOV
- Fast installation and easy set up
Features
Advanced Technology Application
The new standard for veterinary computed tomography is the MyVet CT i3D, incorporating innovative spiral linear technology. The linear detector acquires thin image slices within a large field of view as the x-ray tube circles around the advancing table.
Large Bore Design In A Compact Footprint
A large bore accommodates medium/large dogs and the elevating table facilitates animal positioning in center of bore to maximize image acquisition. The overall compact system design provides a more efficient and space-saving work environment.
Reduce Scatter Radiation, Obtain High Image Quality
Unique detector design reduces scatter radiation resulting in better soft tissue visualization. A 0.4 / 0.8 mm acquired and 0.1 – 30 mm recon slice thicknesses maximize diagnostic information.
Clinical Versatility
Ready for an improved workflow?
Discover how user-friendly our CT solution is.










